特色
形成外科の目的は、「見た目や機能を正常に近づける」ことです。体の表面に生じるさまざまな異常や変形に対し、 できるだけ目立たず、かつ機能面にも配慮した治療を行います。
対象は、眼瞼下垂、皮膚腫瘍、傷あと、ケロイド、けが、やけど、巻き爪・陥入爪、先天異常、 リンパ浮腫、がん治療後の変形など多岐にわたります。 「切る」だけではなく、縫い方の工夫、皮膚移植、局所皮弁、マイクロサージャリーなど、 病状に応じた再建手術を組み合わせることが形成外科の特徴です。
対象疾患
眼瞼下垂(がんけんかすい)
まぶたが下がり、見えにくい、目が開けづらい、疲れやすいといった症状の原因になります。状態に応じて次のような治療を行います。
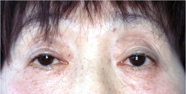
① 眼瞼挙筋短縮術
まぶたを開く筋肉(眼瞼挙筋)の力が弱くなった場合に行います。眼瞼挙筋を縫いつけ直します。
![]() |
![]() |
| 眼瞼挙筋短縮術の一例です。 | |
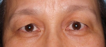
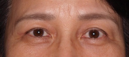
② 除皺術(しわ取り)
まぶたの皮膚がたるんでかぶさってくる場合に行います。余った皮膚を切り取ります。 たるみ方などによって、皮膚の取る場所を決めます。
![]() |
![]() |
|
二重まぶたの線に沿って、余った皮膚を切り取ります。 一般的な方法です。 |
|
![]() |
![]() |
|
眉毛の下で、余った皮膚を切り取ります。 自然な仕上がりになりやすいです。 |
|
局所麻酔でできますので、日帰り手術も可能です。美容目的でなければ、健康保険が適用されます。
腫瘍(できもの、しこり、ほくろなど)
良性なのか悪性なのか判断が難しいところもあります。急に大きくなるようなものは、特に注意が必要です。 皮膚を細かく縫いますので、傷あとはあまり目立たなくなります。
![]() |
![]() |
![]() |
|
一見すると、どれもほくろのように見えます。 しかし、真ん中以外はすべて皮膚がん(基底細胞癌)です。 判断が難しいので注意が必要です。 |
||
![]() |
![]() |
![]() |
|
皮膚がんの場合、再発しないよう大きく取る必要があります。 皮膚の欠損が大きくなり、縫い寄せることができないこともあります。 そういった場合、近くの皮膚をずらして傷を覆います。 これを皮弁術と言います。傷あとも目立ちにくくなります。 |
||
![]() |
![]() |
|
ほくろです。 単純に切り取る際も、傷あとが目立たないようにします。 |
|
傷あと、ケロイド
傷あとを細かく縫い直し、目立たなくします。特殊な方法(Z形成術、W形成術など)を行います。 場合によってはテープや注射などで治療します。
![]() |
![]() |
![]() |
|
W形成術です。あえてジグザグに縫い直します。 傷あとがジグにまぎれて、傷あとが目立たなくなります。 |
||
![]() |
![]() |
|
肥厚性瘢痕(赤く盛り上がった傷あと)です。 皮膚を他の部分から移植しました。 |
|
けが、やけど
「傷は乾かした方が早く治る」というのは大きな間違いです。適度な水分があった方が、傷は早く治ります。
当院では、湿潤療法(うるおい療法)を取り入れて治療しています。治りが早い、痛みが少ない、傷あとが残りにくいなど 色々な利点があります。かつては手術(皮膚移植)されていたようなやけども、治ることがあります。
![]() |
![]() |
![]() |
|
深いやけどでしたが、手術なしで治りました。 入院も必要ありませんでした。 |
||
巻き爪、陥入爪
水虫や深爪などが原因で、爪がくいこんで痛くなることがあります。昔ながらの手術法は痛みがとても強く、 しばらく歩けなくなることもあります。当院では、爪矯正やフェノール法など痛みがとても少ない治療を行っています。
① フェノール法
まず、爪の端の食い込んだ部分を抜きます。そのままでは爪母(爪の根元)が残っているので、また爪が生えてきます。 薬品(フェノール)で爪母を処理し、爪が生えないようにします。手術と比較して、術後の痛みが非常に少ないのが特徴です。
![]() |
![]() |
![]() |
![]() |
| 爪の食い込んだ部分を 幅2〜3mmほど抜きます。 |
麻酔して、 爪を抜きます。 |
フェノールで爪母を 処理します。 |
傷は2〜3週間で 治ります。 |
先天異常(手足や耳の変形、でべそ、あざなど)
形成外科で扱う先天異常は、主に体の表面の異常です。
① でべそ(臍突出症)
赤ちゃんのうちであれば、圧迫するだけで治ることもあります。成長するとともに、自然と治ることも多いです。 改善しないようであれば、手術の対象になります。
![]() |
![]() |
|
手術した例です。 へそを奥に押し込みます。 |
|
② 耳の変形
軟骨の変形によって、さまざまな形になります。眼鏡が着用できない、見た目が気になる、といった問題があります。
![]() |
![]() |
![]() |
| 小耳症 肋軟骨を使って、 耳の形を作り直します。 |
埋没耳 1歳までなら矯正できます。 手術することもあります。 |
副耳 余分な軟骨を取ります。 |
③ 多指症、合指症
生まれつき指が多いことや、指がくっついていることがあります。手術によって、余分な指を取ったり、 くっついた指を切り離します。
![]() |
![]() |
| 多指症です。余分な指を切除します。 | |
④その他、口唇口蓋裂など
口唇口蓋裂や漏斗胸などは大学と連携して治療を行います。ご心配なことがあれば、お気軽にご相談ください。
リンパ浮腫
子宮がん、前立腺がん、乳がんなどの治療後、リンパ液の流れが悪くなり手や足がむくんでくることがあります。 これがリンパ浮腫です。治療が難しいとされてきましたが、ストッキング、マッサージ、手術(リンパ管静脈吻合術)によってかなり改善します。
リンパ管静脈吻合術とは、リンパ管を静脈につないでバイパスを作り、リンパ液の流れを良くする手術です。 約8割の方に効果があるとされています。この手術もマイクロサージャリーによって行います。 高度な技術を要するため、手術できる病院は限られます。早めに治療を始めたほうが効果も出やすいので、早めの受診をおすすめします。
![]() |
![]() |
|
がんの治療後にリンパ浮腫となった方です。 歩くのが大変なほど腫れていましたが、細くなりました。 |
リンパ管と静脈を吻合します。 直径1mm未満と非常に細いです。 |
がん治療後の変形
がんはただ治れば良いというものではありません。治療後のQOL(生活の質)をいかに良くするかということも大事です。 がんを大きく切り取れば、それだけ変形も大きく残ります。見た目の問題だけでなく、食事や会話がしづらくなったりします。
この際に有用なのが、マイクロサージャリー(顕微鏡下手術)です。移植したい組織を血管をつけたまま採取し、 血管をつないで移植します。こうすれば、大きな組織を自由に移植することができます。 脂肪、筋肉、骨などを移植すれば、見た目や機能を非常に良くすることができます。
![]() |
![]() |
![]() |
|
がんの治療後に凹みが残った方です。 他の部分から脂肪を採取し、移植しました。 血管をつけて移植すれば、血流を保ったまま移植できます。 単なる脂肪注入と違い、吸収されてしまうことがほとんどありません。 |
||
他にもいろいろな病気を扱っています。悩みのある方はぜひ一度ご相談ください。お力になれるかと存じます。






































